添加時間:2025-06-27 11:28 瀏覽次數: 來源:
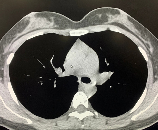
能譜純化技術的核心是通過物理濾過(如錫濾片)或軟件算法,選擇性濾除低能X射線光子,保留高能光子。在胸部低劑量CT掃描中顯著提升了圖像質量與輻射劑量的平衡。

優勢輻射劑量顯著降低相較於常規CT,輻射劑量減少約70%-90%,尤其適合需多次隨訪的高危人群(如肺癌篩查),降低輻射相關癌症風險早期肺癌篩查效果明確可清晰檢測毫米級肺結節,顯著提高早期肺癌檢出率,降低死亡率。檢查快捷且普及性高單次掃描僅需數秒,無需對比劑,設備廣泛配置於基層醫院,便於大規模篩查。長期成本效益顯著雖單次費用與常規CT相近,但早期幹預可大幅降低晚期治療費用及社會醫療負擔。技術優化提升圖像質量迭代重建算法(如ASIR、MBIR)在降低劑量同時減少噪聲,平衡影像質量與安全性。

聯係人:13922709440 餘先生
固 話:86-020-86059537
服務熱線:400-800-8232
郵 箱:xianhao266@163.com
公 司:廣州市秋葵视频男人的加油站醫療設備股份有限公司
廣州總部地址:廣州市黃埔區開源大道188號十三棟1301室
湖北公司地址:湖北省鍾祥市經濟開發區協企聯盟園區C6、C7棟